
Подростку из Нижнего Новгорода спасли руку после закрытого перелома с последовавшими осложнениями. Об этом в своем Telegram-канале сообщил представитель сферы здравоохранения региона Алексей Никонов.
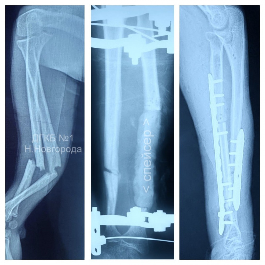
Уточняется, что 14-летний мальчик получил травму во время отдыха в другой стране. Врачи диагностировали у него закрытый перелом обеих костей предплечья на левой руке. При этом операцию провели только на 10-й день после происшествия. Это привело к появлению гнойного воспаления.
Когда подросток вернулся в Нижегородскую область, его госпитализировали в детскую областную клиническую больницу столицы Приволжья. Там уже был поставлен новый диагноз, а также проведено хирургическое вмешательство.
В рамках первого этапа лечения специалисты удалили гнойный очаг, а также девять сантиметров уже омертвевшей кости. Вместо этого участка был установлен антимикробный спейсер с химиопрепаратами. Кроме того, врачи заново поставили аппарат Илизарова.
Уже на втором этапе подростку провели костную пластику, заменив дефект трансплантатом из его же малой берцовой кости. Локтевую кость, которая так и не смогла правильно срастись, распилили, а кости предплечья зафиксировали пластинами.
Сейчас подростка уже выписали. Он вернулся к обычной жизни.
Ранее мы сообщали о том, что медики прокомментировали оказание помощи пострадавшим при БПЛА в Арзамасе.
Самые интересные и срочные новости читайте в «В городе N»


